
Rising up is not all it is cracked as much as be – particularly as our bones aren’t as sturdy after we hit maturity.
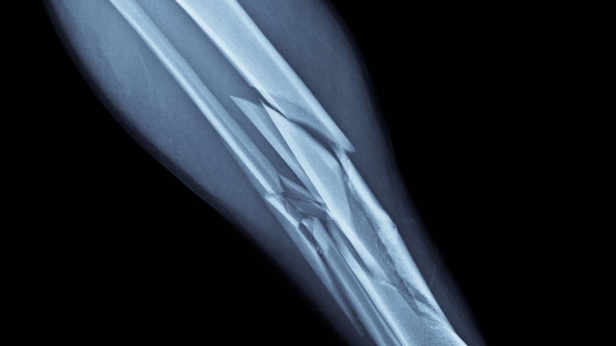
Damaged bones are an unlucky a part of life and their is not an age restrict on them, however some fortunate buggers handle to dodge them utterly. They’re typically the results of clumsy accidents and traumatic falls, whereas folks with underlying well being situations could be very inclined to them too.
However within the eyes of some folks, these accidents may need one thing to do with the ‘non secular’ realm…as there’s just a few ‘loopy theories’ floating round on-line about why sure of us are extra weak to them.
A medic considerably rubbished these concepts although, as Dr Suhail Hussain instructed LADbible breaking bones is ‘not all random or all the way down to divine safety’. In actual fact, he reckons it is ‘a mixture of your genes, life-style, and even what you eat’, whereas the well being knowledgeable additionally defined that your bone energy is ‘largely inherited’.
So, we have gotten to the underside of why some individuals are extra susceptible to damaged bones than others….however have you ever ever puzzled why these accidents appear to rather more traumatic for older folks than children?

Other than the truth that being caught in a solid actually is not as cute if you’re now not a child, damaged bones can actually take it out of the common grownup.
It seems that the bones of a grown up are much more fragile than these of a small baby, as adolescents boast a ‘distinctive high quality that enable their bones to heal quicker’.
In response to consultants at Complete Orthopaedic Care, a US agency who present complete orthopaedic and bodily remedy providers, grownup bones can take months to fix themselves whereas children could be again on their ft in only a matter of weeks.
“Not like the bones within the grownup physique, the bones of kids are nonetheless rising, so their development sample can extra simply accommodate damaged or fractured bones,” it explains.
Nonetheless, the earlier the bone could be ‘set again in place, the higher’ – so it is nonetheless necessary to take quick motion, it doesn’t matter what age you might be.

Anyway, the consultants clarify that youngsters have this superpower as a result of the ‘bones of a kid include much more periosteum, [which is] a dense layer of vascular connective tissue overlaying their bones’.
Complete Orthopaedic Care notes: “Not solely does this make their bones thicker and stronger, but it surely additionally means restoration and therapeutic time is far faster.
“It is because the bones are much more oxygen-rich, permitting it to extra simply heal after trauma.
“Nevertheless, as a result of unimaginable thickness in kids’s bones, it makes it considerably harder to diagnose small fractures. So, in case your baby is complaining of ache after an accident or fall, you need to be fast to get medical consideration.”
It is also price mentioning that kids usually expertise damaged bones attributable to surprising ‘trauma or sports activities accidents’ whereas adults are ‘extra inclined to wear-and-tear sorts of fractures’.
“That is when cartilage and bones break down over time – as can occur with arthritis or osteoporosis – resulting in bones breaking extra simply with a fall,” Complete Orthopaedic Care provides.
So there you will have it lads – keep secure on the market.

No Comments