
An enormous worry for some individuals, MRI machines are one thing of a marvel to others.
Standing for Magnetic Resonance Imaging, the scanner takes detailed photos of the within of your physique. And I imply, come on, don’t all of us need to know a bit extra of what issues appear like in there?
Effectively, in addition to the scans getting used generally for well being causes, like serving to to diagnose situations, they’re additionally used for science. Within the title of that, one couple even determined to hop in a single and get right down to it to point out what actually occurs with our our bodies when we now have intercourse.
However they’re not the one ones to do some lower than regular issues inside an MRI machine, with all kinds of bizarre stuff occurring.

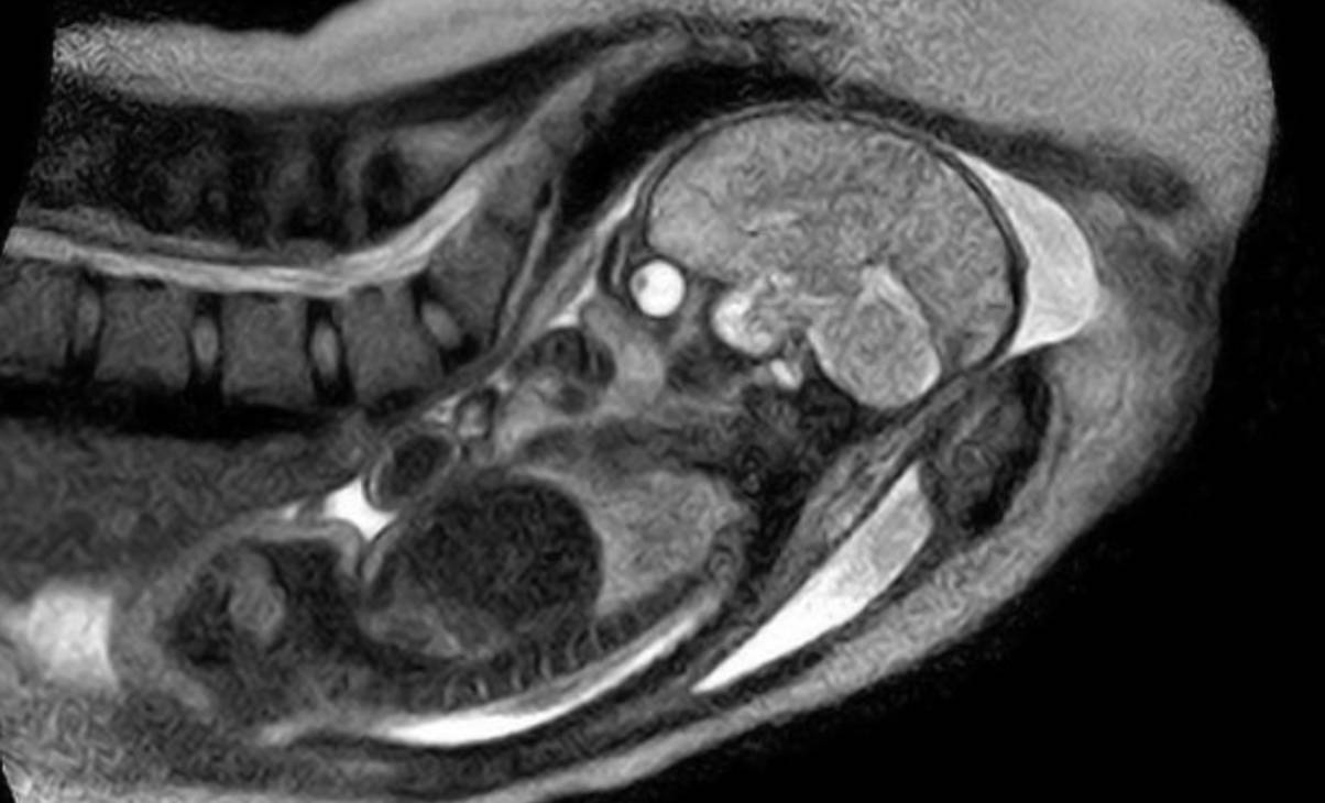
Whereas it’s not such a ‘unusual’ factor in itself, selecting an MRI scanner as the placement for giving beginning is relatively, nicely, distinctive.
In 2010, a German girl welcomed her child from throughout the machine, with 3D photos of her womb being captured the entire time.
Amazingly, medical doctors might even watch how the infant’s head modified form as they moved from the beginning after which down the beginning canal in direction of the doorway to the vagina.
In case the large, tube-like scanners weren’t daunting sufficient for some individuals, others add some further ‘buddies’ into the combination.
The likes of snakes and tarantulas are an enormous worry for a lot of and infrequently illicit fairly a bodily response, from withdrawing and squirming to operating and screaming.
And in a single Israeli research, courageous volunteers took a snake referred to as Nachshon into the scanner with them because the machine took scans of their brains.
“We’re very grateful to Nachshon for inducing intense worry within the members of our research,” mentioned one of many lead researchers, Yadin Dudai, in a video.
One other research even noticed volunteers tricked that they’d a dwell tarantula in a field with their ft, with their brains equally lighting up relying on how a lot worry they felt.

Now this one takes a complete totally different sort of bravery.
MRI Defecography is a professional well being process used to evaluate pelvic ground and rectal operate.
Principally, the affected person is ready with a particular ultrasound jelly and a catheter as their bowel motion is captured whereas contained in the scanner. This will help to diagnose causes of constipation, pelvic organ prolapse and different bowel issues.
To get a greater understanding of what is going on on in a musician’s thoughts when they’re able to improvise a complete concert-length piece of labor, a specialist chucked a number of in there.
Charles Limb, a listening to specialist at John Hopkins, had jazz pianists and rappers go inside a scanner and carry out as he watched how their brains labored.
He discovered that those that improvise probably the most are virtually capable of not directly shut off components of their brains that dealt with self-monitoring. Basically, their capable of actually not fear in the event that they mess up.
Now this one is a bit odd however the reasoning makes some sort of sense.
Again in 2013, earlier than AI and robots appeared as ever current as they do now, researchers wished to see if people can really feel empathy in direction of robotos.
So, they put members inside an MRI machine and made them watch movies of each people and robotic dinosaurs.
These ‘topics’ had been then stroked or tickled but additionally overwhelmed up and choked. Mind scans steered individuals might really feel simalar empathy for robots as they do precise individuals.

No Comments